새로 난 치아가 누런색? 희귀질환 징후일 수도

김병군 선임기자 gun39@busan.com
부산닷컴 기사퍼가기

[치아 저광화증 진단과 치료]
새 영구치 변색되거나 일부 떨어져
강도 약해 쉽게 부서지고 치통 유발
치과 희귀질환은 치료 기간 길어
비용 부담 줄이는 산정특례 필요

부산대치과병원 소아치과 이은경 교수가 어린이 환자를 진료하고 있다. 부산대치과병원 제공 부산대치과병원 소아치과 이은경 교수가 어린이 환자를 진료하고 있다. 부산대치과병원 제공

아이들은 6세를 전후해서 유치가 빠지고 영구치가 새로 난다. 영구치가 잇몸을 열고 나올 때 보통의 치아와 조금 다르게 짙은 누런색을 띠는 경우를 종종 발견할 수 있다. 어금니와 앞니에 주로 발생하는 ‘치아 저광화증’이다. 치아가 부분적으로 변색되거나 일부 치질이 떨어져 나가 일반인들은 충치로 오인하기 쉽다.

 

■미관·기능 측면에서 모두 문제

유아기 때 아이들은 위 아래 10개씩, 총 20개의 유치로 지낸다. 그러다가 6세가 되면 유치 어금니 후방에서 첫 번째 큰어금니(대구치)가 나오기 시작한다.

대개 영구치의 색상은 황백색이나 아이보리색을 띤다. 그런데 새로 나온 치아가 유난히 탁해 보이는 흰색이거나 황색과 갈색이 혼재된 색상이라면 비정상적인 치아 발육이라고 봐야 한다. 황색과 갈색 반점 모양을 하면서 얼룩덜룩하기 때문에 보기에 좋지도 않지만 미관상 문제에만 2그치지 않는다. 저광화증은 치아 표면을 감싸는 법랑질에 문제가 생긴 것이기에 치아 건강에도 악영향을 미친다.

법랑질이 제대로 형성되지 못한 치아는 강도가 약하기 때문에 단단한 음식을 씹으면 쉽게 금이 가거나 부서질 수 있다. 게다가 치아 사이로 충치균이 침투하기도 쉽다. 단 것 혹은 찬 것이 닿거나 양치할 때 시리거나 아픈 증상이 나타날 수도 있다. 손상 깊이가 신경 뿌리까지 진행되면 잠을 못 잘 정도로 통증이 심해질 수 있다.

부산대치과병원 소아치과 이은경 교수는 “저광화증은 우선 충치에 취약해지고 치아가 민감해지면서 통증을 호소하는 경우도 있다. 이상 징후가 발견되면 어린이 치과에 가서 조기 진단을 받고 더 악화되지 않도록 치료해야 한다”고 설명했다.


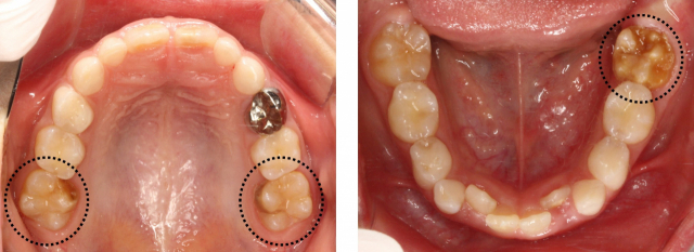
앞니와 어금니 쪽이 황색이나 갈색으로 변색되거나 치아 일부가 떨어져 나가는 증상이 치아 저광화증이다(점선 부분). 부산대치과병원 제공 앞니와 어금니 쪽이 황색이나 갈색으로 변색되거나 치아 일부가 떨어져 나가는 증상이 치아 저광화증이다(점선 부분). 부산대치과병원 제공

■충치 진행 속도 빠르고 통증 유발

현재까지 저광화증은 정확한 발생 원인을 규명하지 못하고 있다. 그래서 임상 현장에서도 치료에 어려움을 겪고 있다.

치아에 저광화증 현상이 나타나면 강도가 약한 법랑질 부위의 충치 진행 속도가 빨라질 수 있으며 치아가 민감해지기 때문에 치료를 받을 때도 애를 먹는 경우가 흔하다. 치료 과정에 통증이나 민감증으로 어린이 환자의 협조를 받기도 아주 힘들다. 특히 국소 마취 효과가 일반 치아보다 떨어지는데, 염증이 심한 경우 국소 마취 효과가 더 떨어진다. 마취가 잘 되지 않아 여러 번 마취를 하는 경우도 생긴다.

저광화증이 있는 아이들은 치아 관리에도 어려움이 많다. 뜨겁고 차가운 자극에 민감하기 때문에 칫솔질을 할 때 통증이 유발돼 칫솔질을 회피하는 경향이 있다. 이렇게 되면 음식물과 치태(플라그)의 침착이 가속화되면서 충치로 인한 치질의 파괴가 정상 치아에 비해 훨씬 심해진다. 저광화증이 발견되면 우선 정기적인 치과 검진과 함께 어금니 칫솔을 사용해 양치질을 꼼꼼히 해야 한다. 불소 도포를 정기적으로 받는 것도 필요하다.

이은경 교수는 “치아 손상 범위가 작다면 홈 메우기나 정기적 불소 도포 등의 예방 처지로 관리할 수 있다. 치아 손상과 혼탁이 심하면 레진 치료를 하거나 치아를 전체적으로 씌워주는 수복치료를 하기도 한다”고 말했다.

 

■희귀질환 산정특례 지원 필요

저광화증의 유병률과 원인에 대한 많은 연구가 시행되고 있다. 전 세계적으로 저광화증 유병률은 약 14%로 보고된다. 국내에선 부산·울산 초등학생 1344명을 대상으로 한 조사에서 6%의 유병률이 보고된 바 있다. 2020년 발표된 소아치과학 저널에 따르면 임신 중 산모의 흡연과 출생 후 첫 3년 이내의 호흡기 감염이 저광화증 발생에 연관성을 보였다. 또 임신 중 산모의 비타민D 및 엽산 등의 건강보조제 섭취는 태어날 자녀의 저광화증 유병률을 낮추는 데 기여하는 것으로 나타났다.

저광화증은 발육 장애성 치과 희귀질환이다. 저광화증 외에도 치아 발육 시기에 초래되는 희귀질환으로 법랑질 형성부전증,상아질 형성부전증, 국소적 치아 이형성증, 핍치증 등이 있다.

법랑질 형성부전증은 치아의 가장 바깥층인 법랑질에 이상이 생겨 치아가 푸석푸석해지고 형태가 이상해지는 질환이다. 상아질 형성부전증은 법랑질 안쪽의 상아질이 적갈색, 청회색, 호박색을 띠는 유전성 질환이다. 심한 경우 잇몸 위로 드러나 있는 치질이 거의 없는 경우도 있다.

국소적 치아 이형성증은 법랑질 형성에 문제가 생겨 충치와 파절에 취약해진다. 핍치증은 선천적인 치아 결손으로 6개 이상의 치아가 없거나 손상된 경우를 말한다.

이들 발육 장애성 치과 희귀질환은 치료 기간이 길기 때문에 치료비 부담도 크다. 치료가 늦어지면 다수의 치아를 뽑아야 하는 상황이 오기도 한다. 성장 중인 어린이는 턱과 잇몸뼈의 변화가 진행 중이기 때문에 임시 치료를 할 수밖에 없다. 성장이 완료된 후에는 교정과 보철치료를 오랫동안 받아야 하는 불편이 있어 환자를 힘들게 한다. 현재는 상아질 형성부전증만 국가 희귀질환에 등재돼 있는데 나머지 발육 장애성 질환들도 희귀질환으로 지정돼야 한다고 전문가들은 지적하고 있다.

이은경 교수는 “대한소아치과학회에서는 서울대병원 소아 희귀질환 사업의 일환으로 치과 희귀질환에 대한 코호트를 구축하고 진료 가이드라인 제작을 진행하고 있다. 앞으로 더 많은 환자가 산정특례 등 재정적 지원을 받을 수 있도록 제도 개선이 이루어질 필요가 있다”고 강조했다.


김병군 선임기자 gun39@busan.com

당신을 위한 AI 추천 기사