“발가락 변형, 걸을 때 통증 동반되면 수술 고려”

김병군 기자 gun39@busan.com
부산닷컴 기사퍼가기

무지외반증 치료

작은 구멍 뚫어 교정수술하는 MICA
흉터 작고 회복 빨라 만족도 높아
변형 심할 때도 최소침습 수술 적용
심하면 발가락 올라타거나 탈구도
굽 높고 볼 좁은 신발 무조건 피해야
신발 자주 벗고 스트레칭하면 효과

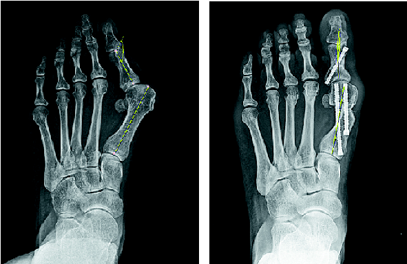
엄지발가락이 휘는 무지외반증은 불편한 신발에서 비롯되는 경우가 많다. 최근 최소침습수술이 도입돼 환자들의 만족도가 높다. 부산고려병원 남지호 과장이 환자와 상담하고 있다. 아래 작은 사진은 무지외반증 수술 전(왼쪽)과 후 엑스레이 사진. 부산고려병원 제공 엄지발가락이 휘는 무지외반증은 불편한 신발에서 비롯되는 경우가 많다. 최근 최소침습수술이 도입돼 환자들의 만족도가 높다. 부산고려병원 남지호 과장이 환자와 상담하고 있다. 아래 작은 사진은 무지외반증 수술 전(왼쪽)과 후 엑스레이 사진. 부산고려병원 제공

‘못난 발은 여름을 싫어한다.’

발가락이 굽고 휘어진 사람은 여름철에 발을 드러내기를 꺼린다. 샌들과 슬리퍼를 신고 싶어도 선뜻 내키지 않는다.

무지외반증은 엄지발가락(무지)이 바깥쪽으로 휘어지는(외반) 질환을 말한다. 발의 아치가 무너져 발의 구조적 불균형이 생기게 되면서 발의 통증과 불편함이 유발된다.

■여성이 남성보다 4배로 많아

엄지발가락은 발바닥 중에서 체중이 가장 많이 실리는 부분이다. 엄지발가락에 변형이 생겨서 점점 진행되면 두 번째 발가락을 밀게 되고 더 심해지면 두 번째 발가락이 올라타거나 탈구가 일어나기도 한다. 또 발목이나 무릎 등 주위 관절의 통증을 유발하기도 한다. 그래서 무지외반증을 단순히 발가락이 변형되는 질환으로만 보면 안 된다.

남성보다 여성 환자 비율이 압도적으로 높다. 2023년 건강보험심사평가원 통계에 따르면 무지외반증으로 진료를 본 사람은 5만 4665명으로 80%(4만 4186명)가 여성으로 나타났다. 하이힐이나 볼이 좁은 신발을 자주 착용하는 특성으로 인해 무지외반증이 많이 생겼지만 최근 남성도 키 높이 깔창이나 구두 착용으로 인해 병원 방문이 늘어나고 있다.

가족 중에 무지외반증을 앓는 사람이 있을 경우에는 유전적으로 발의 구조가 비슷하게 형성돼 무지외반증이 발생할 가능성이 높다. 평발인 경우 걸을 때 엄지발가락을 바깥 쪽으로 밀기 때문에 무지외반증이 더 잘 생긴다.

무지외반증의 주된 증상은 걷거나 서 있을 때 지속적인 통증, 눈에 띄는 발가락 변형, 발가락의 비정상적인 겹침 등이다. 증상이 심해지면서 엄지발가락 안쪽 부위가 염증으로 붓고 붉어진다. 두 번째와 세 번째 발가락 바닥 쪽에 굳은살로 인한 통증이 생기고, 발가락이 저리고 아픈 증상까지 동반되기도 한다.

부산고려병원 정형외과 남지호(족부족관절 세부 전문의) 과장은 “무지외반증은 발이 휘어진 모양과 촉진을 통해 진단하며 뼈의 각도와 관절 변형을 확인하기 위해 방사선 검사가 필요하다. 엄지발가락이 휘어졌다고 해서 무조건 수술하지 않는다. 초기에는 약물 처방, 신발 교정 등으로 통증을 개선할 수 있다”고 설명했다.

시중에 무지외반증 보조기 제품이 많다. 엄지발가락을 포함해 발가락에 끼우는 부드러운 실리콘 보조기, 부목 형태의 보조기, 신발 모양의 보조기 등이 있다. 휘어진 정도와 통증에 따라 개인에 맞는 보조기를 착용한다. 보조기가 통증 완화에는 도움이 될 수 있지만 교정 효과가 입증된 경우는 아직 없다. 통증이 지속되거나 교정을 원하는 경우에는 수술적 치료가 필요하다.

■무지외반증 각도별 증상 및 치료법

무지외반증은 각도에 따라 단계를 나눈다. 엄지발가락이 휘어지기 시작할 때가 1단계다. 15도 이내는 정상 범위로 보지만, 구두나 발볼이 좁은 신발을 신었을 때 엄지발가락 쪽에 통증을 일으킨다. 이때는 편한 신발을 신는 것으로도 증상 악화를 막을 수 있다.

2단계는 20도 이상 휘어지며 변형 상태가 눈에 거슬릴 정도가 된다. 통증을 느끼고 부어오르기도 한다. 약물 처방이나 신발 교정으로 통증을 개선한다.

3단계는 20~40도 사이로 두 번째와 세 번째 발가락도 변형이 된다. 어떤 신발을 신어도 아플 때가 있다. 걸을 때에도 불편하면 수술적 치료가 필요하다.

4단계는 40도 이상 휘어진 경우로, 항상 통증을 느끼고 변형이 심해서 수술로 변형된 발가락을 교정해야 한다.

다른 증상은 없고 발가락 변형만 심한 경우 수술해야 할지 고민하는 환자가 있다. 증상이 심하지 않다고 수술을 하지 않고 지내면 발가락 변형이 점점 심해져 교정하기가 더욱 어려워진다.

최근에는 회복이 빠르고 흉터도 적은 최소침습수술 MICA로 무지외반증을 교정한다. 5mm 이하의 작은 구멍을 3~4개 뚫어서 하는 수술이다. 남지호 과장은 “수술 시간도 짧아졌고 통증이 적어 수술 다음 날부터 걸을 수 있다. 회복이 빠르고 입원 기간도 짧다는 점에서 환자들의 만족도가 높다”고 말했다.

무지외반증 수술의 목적은 통증 완화가 우선이지만, 발이 남에게 보여지는 부분이라는 점에서 미용적인 면도 무시할 수 없다. 최소침습 교정수술 MICA는 길게 절개하지 않고 작은 구멍을 뚫어서 수술하기 때문에 미용적인 만족도가 높다. 이전에는 심하지 않은 변형에만 MICA를 적용하는 경우가 많았다. 하지만 최근에는 기술이 발전해 특수한 경우를 제외하고는 심한 변형에도 최소침습수술을 활용하는 경우가 많다.

■무지외반증 예방법은

무지외반증이 발생하면 엄지를 축으로 걷는 ‘엄지 보행’이 어려워져 걷기도 힘들어진다. 엄지발가락으로 체중을 지탱하지 못하고 발의 바깥쪽 부분으로 걷게 되면 발목에도 무리한 힘이 가해진다. 자주 넘어지거나 발목 관절이 상할 수도 있다.

무지외반증 치료의 시작은 편한 신발을 이용하는 것부터다. 신발을 고를 때 발가락 공간이 넉넉한지, 발가락 움직임에 불편함이 없는지 확인하는 것이 좋다.

무지외반증 증상 완화와 예방을 위해서도 신발 선택이 중요하다. 구두 굽 높이가 5cm 이상이거나 앞볼이 좁은 신발은 무조건 피해야 한다. 굽 높이가 10cm가 넘는 킬 힐의 경우는 무게 중심이 엄지발가락에 쏠리기 때문에 무지외반증에는 치명적이다. 어쩔 수 없이 구두를 신어야 한다면 중간중간 휴식 시간을 갖고 일주일에 2~3회 제한적으로 신는 것을 추천한다. 또 오래 걸었을 때에는 충분한 휴식을 취하고 수시로 발가락 벌리기 운동을 해 준다. 그러면 발가락 근육이 강화돼 한쪽으로 기울지 않고 똑바로 버틸 수 있다. 따뜻한 물로 족욕을 하거나 스트레칭을 통해 발의 피로를 풀어 주는 것도 좋다.


김병군 기자 gun39@busan.com

당신을 위한 추천 기사

    민주당
    스마트폰 영상제

    당신을 위한 PICK