“치아 하나도 없어도 임플란트 시술로 ‘틀니 탈출’ 가능”

김동주 기자 nicedj@busan.com
부산닷컴 기사퍼가기

[닥터큐 전문의를 만나다] 노바치과
다수 치아 결손 시에 ‘전체 임플란트 치료법’ 고려
6~8개 임플란트 심고 하나로 연결된 보철물 올려

노바치과 장명조 대표원장이 디지털 전체 임플란트 치료법을 설명하고 있다. 노바치과 제공 노바치과 장명조 대표원장이 디지털 전체 임플란트 치료법을 설명하고 있다. 노바치과 제공

신체 어느 부위나 다 소중하지만 그중 특히 강조되는 것이 ‘치아 건강’이다. 치아는 음식을 씹고 맛을 보면서 영양 섭취를 도우면서 우리 몸을 지키는 중요한 파수꾼 역할을 한다. 치아에 조금이라도 이상이 생기면 통증을 비롯해 영양 불균형, 소화불량, 외모 이상 등 수많은 문제와 직면하게 된다. 하지만 치아 건강을 평생 온전히 지키기란 어려운 일이다.

대개 60대 이후부터는 잘못된 식습관, 구강 위생 불량, 노화, 만성질환 등으로 치아를 점점 잃는 과정을 밟는다. 이 중에서도 특히 심각한 사태는 다수의 치아가 결손되는 것이다. 한두 개의 치아가 빠졌을 때는 임플란트나 브리지 보철물로 치료가 가능하지만, 다수의 치아를 잃었다면 틀니나 광범위한 임플란트 치료가 필요하다. 이때 틀니로는 정상적인 치아 기능에 한계가 있으므로 자연 치아가 가진 힘의 80% 이상 기능을 하는 임플란트를 우선적으로 고려하는 것이 좋다. 임플란트 치료가 대중화된 지금도 여러 이유로 여전히 틀니를 선택하는 사람이 많다. 그동안 틀니의 불편함에 시달려 왔거나 임플란트 치료가 무섭고 부담스러워 시도하지 못했다면 ‘전체 임플란트 치료’가 적합하다.


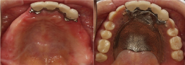
부분 틀니 착용 전(왼쪽)과 착용 후. 탈착식 틀니가 입천장을 덮고 있다. 노바치과 제공 부분 틀니 착용 전(왼쪽)과 착용 후. 탈착식 틀니가 입천장을 덮고 있다. 노바치과 제공

디지털 전체 임플란트 수술법으로 치료한 80대 환자의 치아. 보철물이 고정돼 있고 입천장을 덮지 않는다. 노바치과 제공 디지털 전체 임플란트 수술법으로 치료한 80대 환자의 치아. 보철물이 고정돼 있고 입천장을 덮지 않는다. 노바치과 제공

전체 임플란트는 틀니의 단점과 임플란트 치료 비용과 수술에 대한 부담을 줄인 효율적인 최신 치료기법이다. 턱뼈에 6~8개의 임플란트를 식립한 후 그 위에 하나로 연결된 보철물을 올려 전체 치아를 회복한다. 보철물의 수는 자연 치아와 유사한 12~14개 수준이다. 기존의 임플란트 치료법과 비교해 보면, 임플란트 식립 개수가 적고 잇몸 뼈가 좋은 곳을 선별해서 수술하기 때문에 뼈 이식에 대한 수술적 부담이 적다. 따라서 만성질환자나 고령자도 부담 없이 수술받을 수 있다.

노바치과 장명조 대표원장은 “종전에는 의사가 수술할 때 시각·촉각 등 감각에 의존했기 때문에 오류 발생 가능성이 높았다. 반면 내비게이션 임플란트는 사전에 찍은 CT 영상을 이용해 주변 치아와의 간격, 잇몸 뼈의 상태, 신경 분포 등을 3차원 모델로 구현하고 최적의 식립 위치를 결정하기 때문에 정확도가 높다. 잇몸 절개를 하지 않거나 최소로 하기 때문에 출혈이나 통증도 적은 편이다”고 설명했다.

잇몸 뼈 상태가 비교적 양호하거나 뼈 이식을 하지 않는 경우에는 수술 당일 혹은 며칠 이내에 고정성 임시 치아를 부착한다. 수술 전 미리 임시 치아를 제작했다가 수술 당일 부착하므로, 과거와 달리 수술 부위를 텅 비워 두지 않기 때문에 바로 일상생활이 가능하다.

장명조 대표원장은 “틀니 사용에 불편을 느끼는 환자나 치주질환으로 다수 치아가 결손돼 저작에 불편을 느끼는 환자를 대상으로 전체 임플란트를 다수 시술해 좋은 결과를 얻고 있다”며 “많은 분이 전체 임플란트를 통해 건강하고 질 높은 삶을 살아갔으면 한다”고 말했다.


김동주 기자 nicedj@busan.com

당신을 위한 AI 추천 기사

    당신을 위한 뉴스레터