핵의학과 천인국 과장, SPECT/CT로 세 가지 종양 동시 발견

송현수 기자 songh@busan.com
부산닷컴 기사퍼가기

SCIE 학술지 ‘Clinical Nuclear Medicine’ 게재
암 진단서 SPECT/CT 유용성과 잠재적 가치 입증

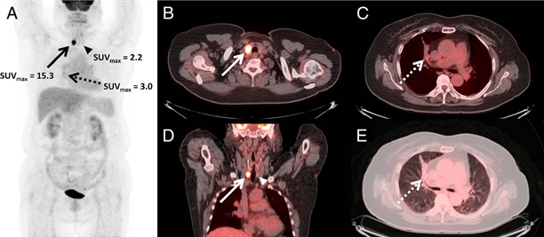
99mTc-MIBI SPECT/CT 결과. 동남권원자력의학원 제공 99mTc-MIBI SPECT/CT 결과. 동남권원자력의학원 제공
18F-FDG PET/CT 결과. 동남권원자력의학원 제공 18F-FDG PET/CT 결과. 동남권원자력의학원 제공

동남권원자력의학원 핵의학과 천인국 과장은 99mTc-MIBI SPECT/CT 검사를 통해 서로 다른 세 가지 종양을 동시에 발견했다고 21일 밝혔다.

이 연구는 SCIE 학술지인 ‘Clinical Nuclear Medicine(IF 10.0)’에 ‘99mTc-MIBI SPECT/CT에서 동시에 영상화된 갑상선 유두암, 소세포 폐암, 부갑상선 선종, 18F-FDG PET/CT와의 비교(Papillary Thyroid Cancer, Small Cell Lung Cancer, and Parathyroid Adenoma Synchronously Visualized on 99mTc-MIBI SPECT/CT in a Patient With Hyperparathyroidism Comparison With 18F-FDG PET/CT)’라는 제목으로 지난해 8월 게재된 바 있다.

이 검사에 사용된 99mTc-MIBI는 미트콘드리아에 결합해 세포 내에 축적되는 특성을 가진 방사성의약품으로서, 정맥주사 후 일정시간이 지나면 방출되는 감마선을 외부에서 검출해 영상화하게 된다. 현재 임상에서는 원발성 부갑상선 기능항진증 환자에서 수술 전 병소의 위치를 구체화하거나, 심근의 허혈상태를 평가하는 목적으로 사용되고 있다. 일부에서는 유방암 환자에서 유방촬영술(99mTc-MIBI mammography)로도 활용되고 있다.


동남권원자력의학과 핵의학과 천인국 과장. 동남권원자력의학과 제공 동남권원자력의학과 핵의학과 천인국 과장. 동남권원자력의학과 제공

논문에 보고한 사례는 원발성 부갑상선 기능항진증이 의심되는 71세 여성 갑상선암 환자에게 부갑상선 99mTc-MIBI SPECT/CT를 시행한 결과, 부갑상선 선종 이외에 이미 진단된 갑상선암과 당시에 알지 못했던 폐의 병소가 관찰되어 폐암 가능성이 보고됐고, 조직 검사를 통해 소세포 폐암으로 확진됐다. 과거 SPECT/CT를 이용해 두 가지 서로 다른 종양을 발견한 사례는 보고된 바 있으나, 세 가지 종양을 동시에 발견한 경우는 극히 드물다.

이 환자에게 99mTc-MIBI SPECT/CT와 18F-FDG PET/CT 검사를 시행했을 때 소세포 폐암에서 최대 표준화섭취계수가 각각 10.7, 3.0으로 나타나 99mTc-MIBI SPECT/CT가 더 높게 측정됐다. 이는 18F-FDG PET/CT에서 잘 보이지 않는 악성종양의 진단에서 99mTc-MIBI SPECT/CT의 보완적 유용성을 보여준다.

천인국 과장은 “99mTc-MIBI는 다제내성을 평가하는 데에도 유용하다고 알려져 있어, 다양한 악성종양의 치료 전 진단과 병기 설정, 그리고 항암치료 계획 시 적극 활용한다면 유용한 추가 정보를 얻을 수 있을 것”이라며 “향후 악성종양 진단에서 18F-FDG-PET/CT과 더불어 99mTc-MIBI SPECT/CT가 새롭고 유용한 영상검사가 될 수 있을 것”이라고 말했다.


송현수 기자 songh@busan.com

당신을 위한 AI 추천 기사

    당신을 위한 뉴스레터